5月7日下午,公司与浙江大学医公司、桂林医公司、新疆医科大学、哈尔滨医科大学、重庆医科大学、徐州医科大学、宁夏医科大学、南京医科大学及南京医科大学康达公司共同发起了“东西部云端联动,同堂实验课”的病理线上教学活动,来自十所高校的师生共同参与,共同探索病理实验教学的新模式。

活动伊始,由南京医科大学william威廉中文官网苏川经理主持了开幕式,介绍了与会嘉宾并宣布活动开始。南京医科大学冯锋董事长和浙江大学医公司楼敏经理分别发表了致辞。本次课程由浙江大学病理学系毛峥嵘教授主讲,实验内容为“心血管系统疾病”,她采用翻转课堂的形式,带领同学们通过线上的虚拟仿真3D病理大体标本和病理虚拟切片进行实验教学。毛教授深入浅出的讲解和生动的案例让同学们对实验内容有了更加直观、深刻的理解。各校的同学们积极参与,争相发言,现场气氛热烈而有序。

浙江大学毛峥嵘教授主讲

本校师生学习现场

本校师生学习现场

本校师生学习现场

东西部高校同学共同观察线上教学资源

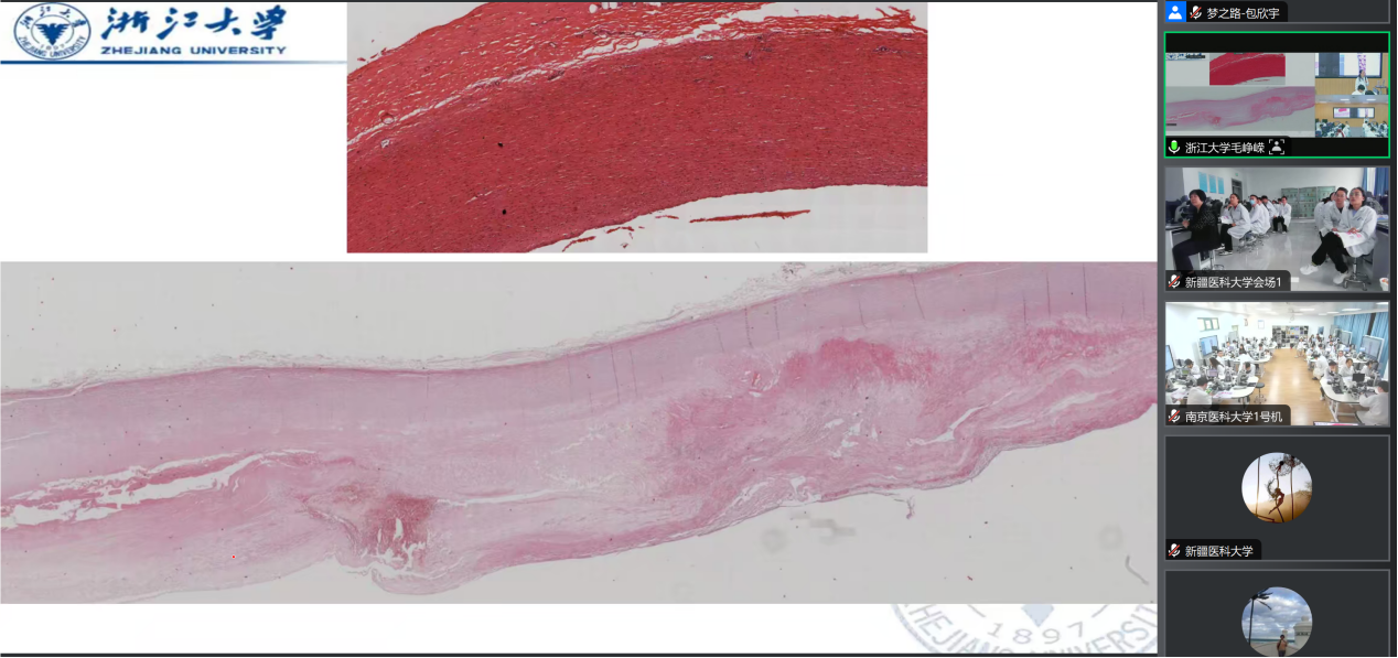
镜下切片观察讲解

本校同学讲解大体标本
活动结束后,参与的师生们纷纷表示,这次“同堂实验课”活动让我们受益匪浅。通过线上虚拟仿真实验平台,可以跨越地域限制,共同进行实验学习和交流。本次活动为推动东西部携手共进、协同发展做出了很好示范。活动主办方表示,今后将努力促进各高校教师合作与交流,探讨基于信息化技术的创新实验教学模式,为实现医学实验教学的数字化转型做出积极贡献。此次联动教学活动,为公司师生创造了开放、灵活、便捷的智能教学空间,促进了员工深层知识体系的架构,并为基础医学部的教学改革和教学创新提供新的可能性。



